
제이엘케이는 지난해 미국 식품의약국(FDA) 인허가를 신청했던 두개내출혈 검출 솔루션(JLK-ICH)이 보완사항 없이 승인받았다고 6일 밝혔다. 지난해 11월 신청 후 2개월 만이다. 이로써 제이엘케이는 총 5개의 제품에 대한 FDA 허가를 받았다. 이 중 4개가 뇌졸중 솔루션이다.
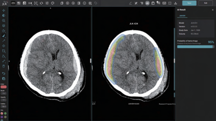
JLK-ICH는 환자의 뇌 컴퓨터단층촬영(CT) 영상을 분석해 뇌출혈 영역을 검출하는 인공지능(AI) 솔루션이다. 통상 뇌졸중 의심 환자가 응급실에 도착하면 가장 먼저 뇌 CT를 촬영해 뇌출혈 여부를 확인하는데 회사는 이 과정에서 JLK-ICH가 쓰일 것으로 예측한다.
제이엘케이는 이번 FDA 승인으로 매출 확대를 위한 기반을 다졌다는 평가다. 미국의 연간 CT 촬상 수가 약 8600만 건에 일러 CT 영상을 기반으로 하는 해당 솔루션의 미국 내 시장성이 높을 것으로 기대하고 있다.
제이엘케이는 올해 인허가 신청과 승인, 보험수가 획득에 집중해 해외 매출 확대에 포석을 마련한다는 계획이다. FDA에는 올해 총 6개의 인허가를 추가로 신청하고 일본은 8개 솔루션의 인허가 신청을 마친다는 계획이다.
김동민 제이엘케이 대표는 “보완사항 없이 단번에 승인을 마친 이번 FDA 획득으로 제이엘케이가 자체적으로 구축한 인허가 역량의 우수성을 입증한 만큼 남은 인허가와 현지 보험수가 획득에 주력해 성공적인 해외 진출 성과를 가져오기 위해 최선을 다하겠다”라고 말했다.




