분노는 순식간이었습니다. 지난달 28일 SBS ‘그것이 알고 싶다’가 전남 여수에서 발생한 생후 4개월 영아 사망 사건 일명 ‘해든이 사건(*가명)’을 다룬 직후였죠. 방송이 공개한 홈캠 영상 속 장면은 시청자들의 감정을 단숨에 끌어올렸는데요. 화면에 담긴 것은 말 그대로 폭력이었습니다.
아이를 향한 거친 손길, 반복되는 폭언, 그리고 둔탁한 소리.
해든이는 아프다는 말 한마디 하지 못한 채 죽어갔다.
28일 방송된 SBS ‘그것이 알고 싶다’에서는 지난해 10월 여수에서 발생한 4개월 아이 학대 사망 사건에 대해 집중 조명했다.
지난해 10월 22일 12시 30분경 여수소방서에는 아이가 욕조에 빠져 숨을 쉬지 않는다는 신고가 접수됐다. 아이는 이미 얼굴이 창백한 상태로 병원으로 이송됐으나 상급
방송인 김주하가 이혼한 전남편을 언급했다.
21일 방송된 MBN ‘김주하의 데이앤나잇’에는 MBN 트로트 오디션 ‘무명전설’ MC 김대호와 심사위원 김광규가 출연했다.
이날 김주하는 “나는 외모를 보지 않는다”라며 김광규와 김대호 중 소개팅 상대로 “당연히 김광규를 택할 것”이라고 답했다.
그러면서 “과거에 외모만 보고 결혼했다가 성형남을 만났다”
‘건강을 잃고서야 비로소 건강의 소중함을 안다’라는 말이 있습니다. 행복하고 건강하게 사는 것만큼 소중한 것은 없다는 의미입니다. 국내 의료진과 함께하는 ‘이투데이 건강~쏙(e건강~쏙)’을 통해 일상생활에서 알아두면 도움이 되는 알찬 건강정보를 소개합니다.
겨울철 기온이 급격히 떨어지는 한파가 찾아오면 뇌졸중 발생 위험이 커진다. 낮은 기온으로 혈관이
AXA손해보험이 설 명절을 앞두고 부모님의 건강과 의료비 부담을 함께 대비할 수 있는 이른바 ‘효도 보험’이 현실적인 명절 선물로 주목받고 있다고 6일 밝혔다.
고령층 의료비 부담이 해마다 증가하는 가운데 자녀가 부모를 대신해 보험을 준비하는 사례가 늘고 있다는 설명이다. 실제로 60대 이상 고령층의 의료비 지출이 빠르게 늘어나면서 향후 의료비 부담을
JW중외제약(JW Pharmaceutical)은 지난 16일부터 17일까지 그랜드워커힐 서울에서 열린 아시아 골수부전증후군 심포지엄(ABFS 2026)에서 면역성혈소판감소증(ITP) 치료제인 ‘타발리스(Tavalisse, 성분명: 포스타마티닙)’의 임상결과와 실제 처방경험이 공유됐다고 26일 밝혔다.
타발리스는 체내 면역반응에 관여하는 신호전달 단백질인
JW중외제약은 이달 16일과 17일 서울 광진구 그랜드워커힐 서울에서 열린 ‘아시아 골수부전증후군 심포지엄(ABFS 2026)’에서 면역성 혈소판 감소증(ITP) 치료 성분인 포스타마티닙(제품명 타발리스)의 임상 결과와 실제 처방 경험이 공유됐다고 26일 밝혔다.
타발리스는 체내 면역 반응에 관여하는 신호전달 단백질인 ‘비장 티로신 키나아제(Splee
국내외 제약바이오 기업들이 기존 치료제의 한계를 극복한 치매 신약 개발에 속도를 내면서 관심이 쏠리고 있다.
21일 본지 취재 결과 치매 치료에 대한 미충족 수요가 해소되지 않는 가운데 현재 국내에 도입된 치매 치료제는 지난해 5월 식품의약품안전처 허가를 획득한 에자이·바이오젠의 신약 레켐비(성분명 레카네맙)가 유일하다.
레켐비는 경도인지장애 및 초
분당서울대병원은 이달 16일 ‘모야모야병 센터’ 개소식을 개최하고 본격 운영을 시작했다고 19일 밝혔다. 모야모야병 진단 및 치료를 위한 전담 센터의 개소는 국내외를 통틀어 최초다.
모야모야병은 뇌로 가는 주요 혈관이 좁아지면서 그 주변으로 비정상적인 혈관들이 발달하는 희귀 뇌혈관 질환이다. 뇌혈관 조영 검사에서 비정상 혈관들이 연기가 피어오르는 듯한
전이암•중증 2대질병 진단 시 사망보험금 선지급… 배타적사용권 특약 첫 종신보험 탑재
태광그룹 금융계열사인 흥국생명은 이달부터 암·뇌출혈·급성심근경색증 진단 시 사망보험금을 두 배로 지급하고, 사망보험금 일부를 연금처럼 선지급받을 수 있는 ‘(무)흥국생명 트리플더블종신보험’을 판매한다고 5일 밝혔다.
해당 상품은 암·뇌출혈·급성심근경색증 등 3대질병
국내 연구진이 약물 투여 없이 초음파의 기계적 에너지만을 이용해 알츠하이머 치매의 원인 물질을 분쇄하고 제거하는 기술을 입증했다. 기존 표준치료인 약물치료의 부작용을 줄일 수 있는 새로운 비침습적 치료의 길이 열릴 것으로 기대된다.
김재호 한림대학교동탄성심병원 신경과 교수팀은 ‘알츠하이머병 마우스 모델에서 집속초음파를 이용한 아밀로이드 플라크 제거(C
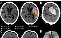
제이엘케이는 뇌졸중 영상 분석 인공지능(AI) 솔루션이 분당서울대학교병원의 실제 임상 현장에서 도입 효과를 나타내고 있다고 22일 밝혔다.
분당서울대병원은 국내에서 뇌졸중 환자를 가장 많이 진료하는 의료기관으로 연간 수천 명 규모의 급성 뇌졸중 환자가 내원하는 상급종합병원이다. JBS-01K를 포함한 뇌졸중 AI 솔루션 패키지를 구독형 모델로 도입한
김주하 앵커가 이혼을 결정한 이유를 밝혔다.
20일 방송된 MBN ‘김주하의 데이앤나잇’에서는 김주하의 20년 지기 오은영이 출연해 다양한 이야기를 나눴다.
이날 김주하는 “결혼 전 비혼주의였다. 하지만 나를 이렇게 아껴주는 사람이라면 함께해도 좋다고 생각했다”라며 전 남편과 결혼 생활을 떠올렸다.
하지만 결혼 후 남편이 위조한 결혼증명서를 발견했
코미디팀 ‘옹알스’의 조준우(47)가 뇌출혈로 당분간 활동을 중단한다.
12일 조준우는 자신의 인스타그램을 통해 “4일 뇌출혈 진단으로 응급수술을 하게 됐다”라며 소식을 전했다.
이어 “이틀간 중환자실에 있다 이제 회복 중”이라며 “얼마 동안 ‘옹알스’ 무대에서 인사드리지 못하겠지만 공연은 쉬지 않고 달린다. 많은 관심 부탁드린다”라고 아픈 와중에도
아리바이오는 영국 런던 소재의 세계적인 시장분석 전문기관 글로벌데이터(GlobalData)가 최근 발간한 화이트페이퍼를 통해 경구용 치매치료제 AR1001을 알츠하이머 미충족 의료 수요를 해결할 혁신적 경구 치료제로 평가했다고 12일 밝혔다. 이번 AR1001 화이트페이퍼는 총 20쪽 분량이다.
글로벌데이터는 축적된 데이터와 임상 진행 상황을 종합할
지엔티파마는 뇌졸중 치료제로 개발 중인 다중표적 뇌세포보호제 ‘넬로넴다즈(Nelonemdaz)’의 동결건조 분말 주사제 제형 및 제조공정에 대한 미국 특허청(USPTO)의 특허 등록 결정서를 받았다고 5일 밝혔다.
이번 특허는 넬로넴다즈 동결건조 제형의 우수한 재용해성과 장기 안정성이 입증된 기술로, 기존 동결건조 공정에서 발생하던 제형 안정성 문제를
경기도의 한 중소 제조업체 E사. 최근 직원 두 명이 인사팀을 찾았다. 한 명은 배우자의 갑작스러운 뇌출혈로 병원비가 급증했고, 다른 한 명은 주택 잔금 마련이 어려웠다. 두 사람의 질문은 같았다. “퇴직연금을 중간에 받을 수 없나요?”
E사가 퇴직금 제도를 운영 중이라면 먼저 퇴직금 중간정산 사유를 검토해야 한다. 근로자퇴직급여보장법 시행령은 무주택
"근무일정 예측 불가 환경…질병 악화 위험 높아"
평일 조기출근과 야근, 공휴일 근무가 누적된 근로자의 뇌출혈 사망을 업무상 재해로 인정해야 한다는 법원 판단이 나왔다.
23일 법조계에 따르면 서울행정법원 행정13부(진현섭 부장판사)는 최근 의류 임가공 공장에서 일하다 뇌내출혈로 숨진 A 씨 유족이 근로복지공단을 상대로 낸 유족급여 및 장의비 부지급 처
시흥지역 대표 의료기관 시화병원이 신축·확장이전 5주년을 맞아 지역과 직접 만나는 축제의 장을 열었다. 병원은 본관 송산홀에서 ‘어서오시화! 프렌즈, 소통공감데이’를 개최하며 5년의 변화와 앞으로의 의료비전을 주민들에게 가장 가까운 자리에서 공유했다.
19일 시화병원에 따르면 행사에는 지역주민과 시흥 유관기관 단체장·회원 등 150여명이 참석해 병원의 진
부영그룹은 EBS 사회공헌 프로그램에 3억6000만 원을 기부하며 4년 연속 후원을 이어간다고 18일 밝혔다. 부영그룹이 EBS 프로그램에 전달한 금액은 누적 27억2000만 원이다.
이중근 부영그룹 회장은 이날 그룹 사옥에서 김유열 EBS 사장, 남선숙 방송제작본부장 등과 만나 기부금을 전달했다. 기부금은 전액 사랑의열매 사회복지공동모금회를 통해 소
지하철역 승강장에서 의식을 잃고 쓰러진 60대 남성을 발견하고 신속한 응급조치로 생명을 구한 간호사의 사연이 뒤늦게 알려져 화제가 되고 있다. 주인공은 가톨릭대학교 인천성모병원 소속 배낭경 간호사.
17일 가톨릭대 인천성모병원에 따르면 배 간호사는 지난달 23일 오후 인천지하철 부평역 승강장에서 전철을 기다리던 중 아찔한 상황을 목격했다. 주변에 있던 6
치매를 집중해서 다루는 언론사에서 일한 지 만 2년이 넘었다. 나는 친할아버지와 장모님이 치매를 앓다 돌아가신 경험이 있고, 청년기부터 20년 넘게 뇌출혈로 쓰러진 어머니를 돌봤다. 20대에 영 케어러로 시작해 50세가 다 되도록 ‘장기 중환자의 보호자’로 살아왔다.
사람이 어느 순간 기억을 점차 잃어가는 건 가까이 있는 가족에게 큰 재난이다.
바쁜 일상 속 알짜 뉴스만 골랐습니다. 정책·복지·건강·기술까지, 꼭 필요한 시니어 관련 정보를 챗GPT가 정리하고 편집국 기자가 검수해 전해드립니다.
◆4060 절반 구직 계획…희망 급여는 기업과 최대 181만 원 간극
서울시와 서울시50플러스재단은 중장년 구직자 1만 명·기업 450곳이 참여한 ‘서울 중장년 일자리 수요조사’ 결과를 23일 공