
국내 의료진이 최근 스파르가눔증(Sparganosis) 기생충 감염으로 발생한 드문 뇌 염증성 병변 치료 증례를 발표하며 기생충 감염의 조기 진단과 치료의 중요성을 강조했다. 연구팀은 스파르가눔증 유충이 뇌로 이동하며 발생한 질환을 정밀 검사로 진단하고, 수술로 성공적으로 제거한 사례를 학계에 보고했다.
백선하 서울대병원 신경외과 교수와 박혜란 순천향대서울병원 신경외과 교수 공동 연구팀은 스파르가눔증 기생충 감염으로 서울대병원에 내원한 40대 여성 환자의 병변을 정밀하게 진단하고 개두술을 통해 살아 있는 기생충을 성공적으로 제거했다고 30일 발표했다.
스파르가눔증은 유충이 체내에 침투해 혈류를 통해 뇌로 이동하며 발생하는 드문 기생충 감염 질환이다. 감염은 주로 오염된 물을 마시거나 익히지 않은 야생 동물의 고기 또는 생선을 섭취했을 때 발생하며 드물게 피부 상처를 통해 전파되기도 한다. 감염된 기생충이 뇌로 이동하면 두통과 구토 같은 초기 증상이 나타나며, 시간이 지나면서 발작·시야 결손·감각 이상 등 심각한 신경학적 문제로 이어질 수 있다.

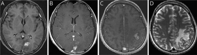
이번 연구는 서울대병원에 내원한 40대 여성 환자를 대상으로 이뤄졌다. 환자는 심한 두통과 구토 증세로 병원을 방문했으며, 초기 뇌 자기공명영상(MRI)에서 좌측 후두엽에 불규칙하게 조영된 종양성 병변이 발견돼 뇌종양이 의심됐다. 의료진은 수술을 권유했지만, 환자는 증상이 일시적으로 호전되자 치료를 거부하고 퇴원했다.
7개월 후 환자는 다시 극심한 두통과 전신 발작으로 병원을 방문했다. 후속 MRI에서 병변이 좌측 후두엽에서 좌측 두정엽으로 이동한 것이 확인됐고, 이 병변 이동은 스파르가눔증의 대표적인 진단 단서가 됐다.
환자는 과거 오염된 연못물을 마시고, 날생선 및 익히지 않은 야생 동물 고기를 섭취한 이력이 있어 의료진은 기생충 감염을 염두에 두고 효소결합면역흡착분석(ELISA)검사와 정위적 생검을 시행했다.
그 결과, ELISA 검사와 뇌척수액(CSF) 검사에서 스파르가눔증 항체가 검출됐으며, 정위적 생검에서는 염증성 육아종이 확인됐다. 이후 개두술을 통해 살아있는 스파르가눔증 유충을 성공적으로 제거했다. 수술 과정에서 기생충이 살아 움직이는 모습은 영상으로 기록됐다.
연구팀은 이번 사례가 스파르가눔증 감염이 MRI에서 종양처럼 보일 수 있음을 보여주며, 기생충 감염이 의심되는 경우 신속한 진단과 치료가 필수적임을 강조했다.
백선하 서울대병원 교수는 “스파르가눔증 증상은 매우 드문 기생충 감염 질환이지만, 오염된 물이나 제대로 익히지 않은 음식을 섭취했을 때 발생할 수 있다”며 “특히 영상 검사에서 병변이 이동하는 경우 기생충 감염 가능성을 반드시 고려해야 하며, 오염된 물을 피하고 야생 동물의 고기나 생선을 충분히 익혀 먹는 등 개인위생 수칙을 지키는 것이 예방의 핵심”이라고 강조했다.
박혜란 순천향대서울병원 교수는 “스파르가눔증 감염은 조기에 발견하고 치료하는 것이 중요하다”며 “치료가 지연되면 기생충에 의한 신경 손상이 영구적으로 남을 수 있기 때문”이라고 경고했다.
한편 이번 연구 결과는 미국 신경학회 저널인 ‘Neurology’ 최근호에 게재됐으며, 기생충 감염의 조기 진단과 치료의 중요성을 알리는 중요한 사례로 평가받고 있다.




