
건강보험심사평가원 자료에 따르면 국내 허리디스크 환자 수는 2015년 189만688명에서 이듬해 193만6769명, 지난해에는 197만8525명으로 증가했다. 실제로 고려대·울산대·이화여대·경희대 예방의학 공동 연구팀이 2010년부터 2015년까지 800여억건의 국민건강보험 전 국민 의료이용 통계를 분석한 결과에서도 한국인을 가장 괴롭히는 질병 1위로 디스크, 협착증 등 척추질환이 꼽혔다.
허리디스크는 보통 노환으로 발생한다. 나이가 들고 운동량이 부족한 상태에서 허리에 부담을 주는 나쁜 습관과 생활패턴이 장기간 유지되면서 척추뼈와 인대, 근육의 약화 및 디스크의 영양부족 등이 허리디스크를 일으킨다.
하지만 허리디스크는 노인만의 문제도 아니다 20~30대 허리디스크 환자 수도 상당히 많다. 앞선 ‘국민건강보험 통계 분석 결과’의 세부 항목을 살펴보면 10대부터 40대까지 가장 큰 부담을 주는 질병 1위로 모두 디스크 등 척추 질환이 꼽혔다. 50~60대에서는 2위를 차지했다.
젊은 층의 허리디스크는 10~20대부터 축적된 생활 속 나쁜 자세와 운동 부족, 급작스러운 체중 증가 등이 주원인이다. 여기에 한국 청년들이 중한 학업, 취업 준비, 과로 등도 큰 영향을 미친다. 실제로 현재 20~30대들은 이미 청소년 시절부터 책상 앞에서 많은 시간을 보냈다. 보건복지부에 따르면 한국 청소년(15~24세)들의 평일 평균 학습시간은 총 7시간 50분으로 영국 3시간 49분과 미국 5시간 4분에 비하면 각각 4시간, 2시간 이상 많다. 일본 청소년들(5시간 21분)과 비교해서도 매우 긴 시간이다.
학업이 끝나면 취업 경쟁에 들어선다. 여전히 구직 준비를 위해 책상 앞에 앉는다. 구직이 끝나고 업무에 배치돼도 사무직에서 일한다면 일과의 대부분을 책상 앞에서 보내야 한다. 한국은 OECD국가 중 노동시간 2위로 매우 긴 노동시간을 자랑하는 나라다. 여기에 높은 스마트폰 보급률도 허리디스크에 영향을 끼친다는 의견도 있다. 잘못된 자세로 스마트폰을 장시간 사용하다 보면 몸의 중심을 바로 잡은 척추와 경추 균형이 깨지면서 허리디스크를 야기할 수 있다는 것이다.
한국의 높은 허리디스크 유병률은 생애주기 전체에 원인이 있는 만큼 그 요인을 쉽게 줄이기는 힘들다.
그러나 전문가들은 일상에서 조금만 주의를 기울여도 허리디스크를 상당히 줄일 수 있다고 지적한다.
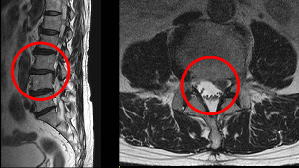
연세건우병원 이기열 원장은 "자세를 고치는 것이 가장 중요하다"며 “자세가 비뚤어진 상태로 오랜 시간 지속적인 압박을 받게 되면 척추 사이에 있는 디스크가 눌려 찌그러지면서 벌어진 쪽으로 밀려나오며 이 상태에서도 지속적으로 자극을 받게 되면 섬유테가 붓고 찢어지거나, 안에 있는 수핵이 섬유테를 찢고 터져서 밖으로 밀려 나오기도 한다”고 말했다.
이어 “허리디스크의 원인이 되는 잘못된 자세와 생활습관을 개선하지 않으면 디스크는 언제든지 재발할 수 있다"며 “척추의 유연성을 높여주고 근육과 인대를 튼튼하게 해 주는 운동을 꾸준히 실시하면 허리디스크의 재발을 막을 수 있다”고 덧붙였다.




