
특히 키는 누구나 쉽게 가늠할 수 있는 특징으로 남성과 여성의 차이가 민감하게 지각된다. 예를 들어 50대인 필자의 키는 168㎝로(젊었을 때 2㎝가 아쉬웠다) 동년배에서 남성으로서는 좀 작은 편이지만 여성이라면 꽤 큰 키다. 요즘 한국 젊은이 기준으로도 남성으로는 확실히 작지만 여성으로는 여전히 큰 키인 반대속성으로 판단한다.
남녀의 평균 키 차이는 지역에 따라 약간의 편차는 있지만 대략 13㎝ 내외다. 즉 살아가는 환경에 따라 인구 집단의 평균 키는 꽤 다르지만(지난 100년 사이 한국인 키가 꽤 커졌듯이) 남녀의 차이는 거의 일정하게 유지되는 셈이다. 남녀 키 차이에는 생물적 요인이 작용하고 특히 성호르몬이 큰 역할을 한다. 아이 때는 남녀 키가 비슷하지만 청소년 시기를 지나며 차이가 확 벌어지는 이유다. 다만 성호르몬 차이는 남녀 키 차이에서 10㎝ 정도를 설명한다. 그렇다면 나머지 3㎝는 어디서 비롯된 것일까.
최근 학술지 ‘미국 국립과학원 회보’에 3㎝의 비밀을 염색체에서 찾았다는 미국 공동연구팀의 연구 결과가 발표됐다. 사람의 게놈은 23쌍의 염색체로 이뤄져 있는데, 이 가운데 한 쌍이 남녀에 따라 달라 성염색체로 불린다. 즉 여성의 성염색체는 X염색체가 두 개인 XX이고 남성은 X염색체 하나와 Y염색체 하나인 XY다.
X염색체는 Y염색체보다 덩치가 3배나 더 크고 유전자도 X염색체가 900여 개로 100개 내외인 Y염색체보다 훨씬 많다. 그럼에도 X염색체와 Y염색체가 공통으로 지닌 유전자가 29개 있고 이 가운데 하나인 SHOX(속스) 유전자가 키와 관련된 것으로 알려져 있다. 연구자들은 이 유전자가 어떤 염색체에 있느냐에 따라 키에 미치는 영향력이 다르다고 가정하고 이를 확인해보기로 했다.
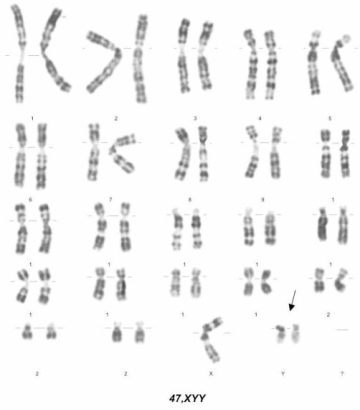
이들은 바이오뱅크에 등록된 92만여 명의 염색체 데이터에서 세포분열 오류로 성염색체 개수가 다른 1225명의 키를 분석했다. 즉 X염색체가 하나뿐인 여성(X)과 3개인 여성(XXX), X염색체가 하나 더 있는 남성(XXY)과 Y염색체가 하나 더 있는 남성(XYY)이다. 예를 들어 X염색체가 하나 더 있는 여성(XXX) 335명의 평균 키는 평범한 여성(XX)보다 6.1㎝ 더 컸고 Y염색체가 하나 더 있는 남성(XYY) 290명은 평범한 남성(XY)보다 9.1㎝나 더 커 평균 키가 185㎝나 됐다.

전체적인 분석 결과 Y염색체에 있는 SHOX는 키에 8.5㎝ 기여해 X염색체에 있는 SHOX의 5.4㎝보다 3.1㎝ 더 컸다. 바이오뱅크에 등록된 남녀 키 차이인 13.7㎝의 23%는 SHOX 유전자가 어느 성염색체에 있냐에 따른 결과라는 말이다.
XYY인 남성의 키가 9㎝나 더 큰 걸 보고 ‘나도 Y염색체가 하나 더 있었으면 좋았을 텐데…’라고 생각할 독자도 있을 텐데 사실 이런 남성들(1000명에 한 명꼴)은 키가 큰 걸 빼면 별로 좋을 게 없다. 여분의 Y염색체 영향으로 학습장애나 자폐스펙트럼장애가 나타날 위험성이 크고 천식 등 특정 질병에 취약하기 때문이다. 적어도 염색체는 평범하게 쌍으로 존재하는 게 좋다.



