
삼성메디슨이 세계 산부인과 초음파 학회에서 태아의 이상 유무를 조기 진단할 수 있는 초음파 기술을 공개한다.
16일 삼성메디슨은 ‘세계 산부인과 초음파 학회’의 연례 학술대회에 참가한다고 밝혔다. 학회는 이날부터 3일 동안 온라인을 통해 열린다.
이 행사에서 온라인 가상 전시관을 앞세운 삼성메디슨은 인공지능 기반의 차별화된 ‘인텔리전트 어시스트(Intelligent Assist)’ 솔루션들을 대거 선보인다. 나아가 한 단계 업그레이드된 이미지 표현을 완성한 진단기기 ‘헤라(HERA)’ 시리즈를 소개한다.
이 가운데 주목할만한 시스템은 △하트어시스트 △바이오메트리어시스트 △레이버어시스트 등이 있다.
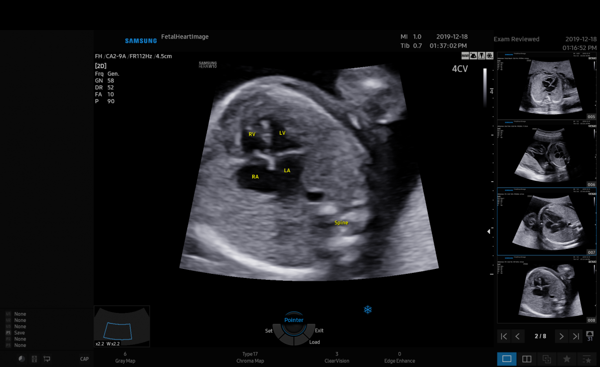
특히 하트어시스트는 선천성 심장 질환을 딥러닝 방식을 적용해 빠르고 정확하게 자동 측정한다.
올 6월 의료영상분석장치 소프트웨어 2등급을 획득해 삼성메디슨 최초 AI 의료기기로 허가받은 바 있다.
태아의 성장을 반자동으로 측정해 주는 바이오메트리어시스트에도 관심이 쏠린다.
태아의 머리 지름과 둘레, 복부 둘레, 넓적다리뼈 길이 등을 97~99%의 정확도로 0.5초 이내에 측정할 수 있는 기술이다. 단순 반복적인 작업을 줄이고 일관된 측정값을 제공해 의료진의 진료 프로세스(Work flow) 간소화가 기대된다.
레이버어시스트는 의사가 내진 경험에만 의존하지 않아도 되도록 분만 진행 정보를 정량적으로 제공하고 평균 1.5초의 자동 측정이 가능해 의료진이 산모의 출산 방법을 객관적으로 결정할 수 있도록 도움을 준다.
바이오메트리어시스트와 레이버어시스트 기능들은 삼성이 개발한 진단 알고리즘에 인텔의 ‘Open VINO’(Open Visual Inference & Neural Network Optimization, 개방형 시각 추론 & 신경망 최적화) 툴킷을 적용해 개발됐으며, 기존 자사 장비 대비 데이터 처리 속도가 약 4.7배 빨라졌다




