
이번 개발은 연세대학교 공과대학 황도식 교수와 공동연구를 통해 이뤄졌다.
외상으로 응급실을 방문한 환자에서 경추와 흉부, 골반 X-ray를 기본으로 촬영해 상태를 확인한다. 이 중 경추 X-ray 영상은 응급환자나 중증 환자를 평가하는데 중요한 기초 영상자료로 활용된다.
경추 C2/3번과 C6/7번의 경우 척추앞공간은 각각 6~7mm와 20mm 정도로 측정되는데, 내부출혈이나 부종 등이 있을 경우 이 두께가 넓어진다. 이 때 의사는 X-ray 영상판독결과에 따라 CT나 MRI 등의 정밀 검사를 신속히 진행해야 할지 응급처치를 우선해야 할지 등의 진단과 치료 계획을 세우게 된다.
연구팀은 경추 X-ray 검사에서 C2번과 C6번 척추앞 공간을 검출할 수 있도록 200명의 측정값을 데이터화 시켜 딥러닝을 통해 AI에 학습시켰다.
연구팀은 이렇게 학습한 AI를 통해 실제 응급실을 방문한 136명의 경추 X-ray를 분석했다. 그 결과 C2의 경우 132명(97%)에서 영상의학과 의사의 진단과 일치했으며, C6의 경우 126명(92.7%)에서 정확도를 보였다. 특히, 경추 수술을 받은 환자나 임플란트 등 보철물을 가진 환자에서도 정확한 진단이 가능했다.
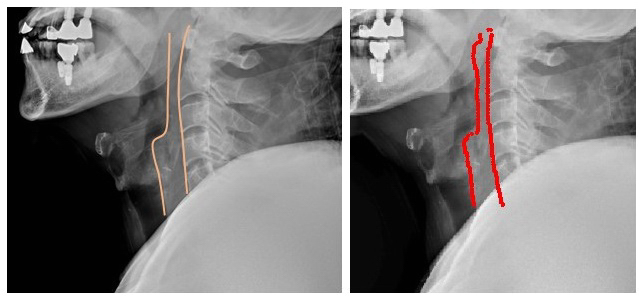
실제 치과 보철치료를 받은 외상환자의 경추 X-ray 영상을 영상의학과 의사가 판독한 결과와 AI가 판독한 결과를 비교했을 때 큰 차이를 보이지 않았다. 엑스레이를 판독할 때 척추 앞 공간을 보기 위해 척추 앞 공간선을 그리게 되는데 AI 역시 의사가 그린 공간선과 같은 모양을 그렸다.
이번 X-ray AI 기술이 적용되면 응급실을 방문한 외상 환자의 경우 빠른 중증도 분류를 통해 제한된 의료인력이 적시에 투입돼 환자들에게 적절한 치료를 제공할 것으로 기대되고 있다.
이 교수는 딥노이드와 이번 연구를 실용화하기 위한 임상연구를 계획 중이다. 이 교수는 “바쁜 응급실에서 X-ray 판독 AI 기술이 적용되면 앞으로 의사의 역할이 줄어드는 것이 아니라, 의사의 집중력을 높이고 역할을 극대화하는데 이바지할 수 있을 것”이라고 말했다.
한편, 이 교수는 응용영상의학 연구실(Advanced Radiology Laboratory) 연구 책임자로 영상의학과 양재문 교수 연구팀과 응급상황에서뿐만 아니라 진단분야에서 AI를 활용한 종양 진단기술 개발도 진행 중이다.





